Izdelava anteriornega mostička: material ogrodja VITA YZ, fasetirano z VITA VM 9

 

 

 

Master Dental Technician Björn Czappa

 

  • Po usposabljanju v Gladbecku v Nemčiji se je specializiral iz implantološke tehnologije v različnih ordinacijah in laboratorijih v Oldenburgu in Bremnu.
  • 1991 Ustanovitev lastnega laboratorija m.c.zahntechnik v Oldenburgu v Nemčiji.
  • 1995 Opravljeni izpiti za mojstra zobotehnika, kot najboljši v svojem razredu na HWK Halle v Nemčiji.
  • 2006 Usposabljanje za zobnega estetika.
  • Mednarodni predavatelj/vodja tečajev, specializiran za tehnologijo individualnih keramičnih prevlek, polno keramiko, estetiko sprednjih zob in implantološko protetiko.

 

 

Začetno stanje

Mavčni model začetnega stanja pacienta.

Pri prejšnjem zdravljenju je bil podočnik 23 izpuljen in nadomeščen z restavracijo, pri kateri zob 23 ni bil upoštevan. To je povzročilo izgubo volumna in simetrije.

Navoskanje

Obnova celotne simetrije z navoskanjem zoba 23 in umetno nadgradnjo volumna dlesni.

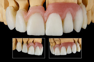
Cirkonsko ogrodje

Cirkonsko ogrodje, ki sledi navoskanju z nadomestilom za veliko kostni defekt.

Labialni pogled

Labialni pogled na dokončan, fasetiran sprednji mostiček.

Palatinalni pogled

Palatinalni pogled dokončanega, fasetiranega sprednjega mostička.

Površinske teksture

Podrobnosti o površinski teksturi.

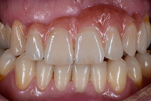
Končni rezultat

Končna restavracija v ustih.

 

Deli novico

Nazaj