Podaljšanje klinične krone in šivanje v endodontski kirurgiji

Kirurško podaljšanje zobne krone je enostaven kirurški poseg, ki se izvaja v lokalni anesteziji. Njegov namen je dodatno izpostaviti vidni del krone ali korenine, kar dosežemo z odstranitvijo kosti in/ali dlesni okoli enega ali več zob.

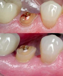
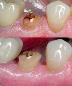
Kirurško podaljšanje zobne krone je enostaven kirurški poseg, ki se izvaja v lokalni anesteziji. Njegov namen je dodatno izpostaviti vidni del krone ali korenine, kar dosežemo z odstranitvijo kosti in/ali dlesni okoli enega ali več zob. Po posegu se kirurška rana zapre s šivi, ki se odstranijo po enem tednu. Izvaja se z namenom zdravljenja subgingivnega kariesa ali potrebe po protetični oskrbi.

Na tečaju bodo podane:

  • teoretične osnove kirurškega podaljševanja zobnih kron,
  • šivanje nastale rane ter osnovni instrumenti potrebni za izvedbo posega.

Predstavljene bodo smernice za nego pacienta po posegu.

Po teoretičnem in demonstracijskem delu bodo udeleženci izvedli podaljševanje zobnih kron na modelih, nato pa bodo vadili posamezne šive, ki se med drugim uporabljajo v endodontsko-parodontalni kirurgiji.

Osnovne informacije

  • LokacijaIzobraževalni center Interdent Celje
  • Pričetek izobraževanja9.00
  • Trajanje1 dan
  • Omejitev6 - 12
  • Jezikhrvaški
  • Cena350€ + DDV

Predavatelji

prof.dr.sc. Ivica
prof.dr.sc. Ivica Anić dr.dent.med.

Deli izobraževanje

Prijava na izobraževanje